Periodontitis

PERIODONTITIS –

RISK OF INFECTIOUS DISEASES

 

Periodontitis clearly increases the risk of further infectious diseases. For instance, a Spanish study concludes that patients with periodontal disease have a ten times higher risk of contracting pneumonia. Similarly, a 500% increase in the risk of myocardial infarction has been statistically proven.

Periodontitis is an infectious disease that cannot be overcome without the help of the dentist. For this reason, you should ask your dentist for advice at the first sign of periodontal disease (e.g. repeated bleeding of the gums). Dr Selmair will take the time to analyse the degree of the disease and to choose possible steps towards therapy and treatment with you.

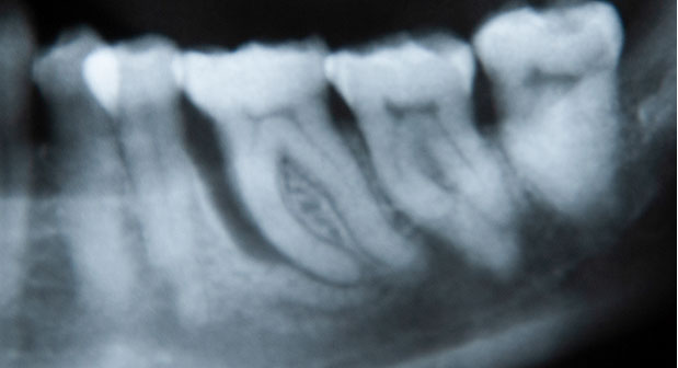
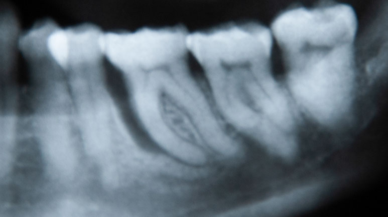
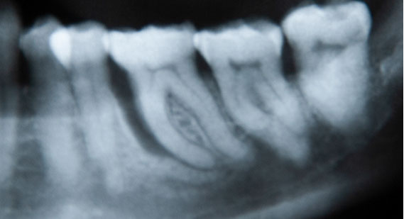
During the examination for the diagnosis of periodontal disease, different parameters are recorded:

 

  • Plaque Index (API)
  • Bleeding Index (PBI)
  • Periodontal Screening Index (PSI)
  • Probe depths (defined as "pocket" from 4 mm)
  • Care status (plaque display with the intraoral camera)
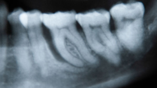
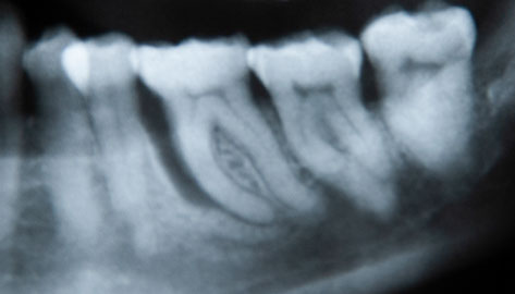
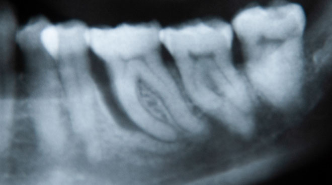
  • OPG (Orthopantomogram - X-ray overview)

 

In order to successfully contain periodontitis, the dentist relies on the full cooperation of the patient. Good oral hygiene at home is a prerequisite for the success of a pocket treatment.

 

Dr Selmair's customised tail recall system contributes decisively to the success of the treatment and helps to prevent re-infection. It is up to the patient to recognise and accept this help accordingly.

 

 

Smoking and periodontitis

 

The risk for a smoker to develop periodontitis is up to six times higher than for a non-smoker. The nicotine consumption greatly reduces the blood flow to the gums, as well as the local immune defence - this can quickly lead to deep pockets in the gums.

 

The risk of losing teeth during aftercare therapy is also significantly higher with smokers than with non-smokers.

 

 

Our Tip:

 

Periodontitis is a contagious infectious disease caused by various anaerobic bacterial species. If you or your partner suffers from periodontal disease, both partners should consult a dentist.

 

 

Mail: info@drselmair.de

 

CONTACT US

 

Zahnarztpraxis

Dr. med. dent. Isabel Selmair

Clemensstraße 21a

80803 München

 

 

Die Zahnarztpraxis Dr. Selmair in München Schwabing bietet Ihnen unter anderem folgende Leistungen:

 

Amalgam-Sanierung | Ästhetische Rekonstruktionen | Füllungen | Zahnersatz (Prothetik) | Vorsorge (Prophylaxe) | Wurzelbehandlung (Endodontie) | Behandlung von Parodontitis | Schienentherapie | Minimalinvasive Füllungstechniken | Kinderzahnheilkunde | Alterszahnheilkunde | Recall System | Präventive Zahnheilkunde | amalgamfreie Praxis | hochwertige Kunststofffüllungen | hochwertiger Zahnersatz: Inlays | Kronen | Brücken | Veneers | Teleskop- und Geschiebearbeiten | Implantatprothetik | Totalprothetik | ästhetische und kosmetische Zahnheilkunde: Farb- und Formoptimierung | Bleaching | Internes Bleaching | Individualprophylaxe | Recall-System | moderne Endodontie | Schienentherapie | Sportschutzschiene | Schnarcherschiene | Zahnärztliche Chirurgie | Panorama-Röntgen | Digitales Röntgen | schmerzfreie Anästhesie | schonende Kinderbehandlung | entspannte, angstfreie Behandlung | Geriatrische Zahnheilkunde | hochauflösende intraorale Kamera | professionelle Zahnreinigung | Bißerhöhungsschiene | Kompositfüllungen | Komposite | Maschinelle Endodontie |Composite | Aligner Therapie | ästhetische Kieferorthopädie | Invisalign | Behandlungsmikroskop | Zähnebleichen

 

Zahnarztpraxis Dr. Isabel Selmair München, Schwabing
Zahnarztpraxis Dr. Isabel Selmair München, Schwabing
Zahnarztpraxis Dr. Isabel Selmair München, Schwabing
Zahnarztpraxis Dr. Isabel Selmair München, Schwabing
Zahnarztpraxis Dr. Isabel Selmair München, Schwabing

KONTAKT

 

Zahnarztpraxis

Dr. med. dent. Isabel Selmair

Clemensstraße 21a

80803 München

 

 

 

 

KONTAKT

 

Zahnarztpraxis

Dr. med. dent. Isabel Selmair

Clemensstraße 21a

80803 München

 

 

 

 

CONTACT US

 

Zahnarztpraxis

Dr. med. dent. Isabel Selmair

Clemensstraße 21a

80803 München

 

 

 

 

CONTACT US

 

Zahnarztpraxis

Dr. med. dent. Isabel Selmair

Clemensstraße 21a

80803 München

 

 

 

 

Zahnarztpraxis Dr. Isabel Selmair München, Schwabing
Zahnarztpraxis Dr. Isabel Selmair München, Schwabing

Zahnarztpraxis Dr. Isabel Selmair München, Schwabing Zahnarztpraxis Dr. Isabel Selmair München, Schwabing Zahnarztpraxis Dr. Isabel Selmair München, Schwabing Zahnarztpraxis Dr. Isabel Selmair München, Schwabing
Zahnarztpraxis Dr. Isabel Selmair München, Schwabing