Ästhetische Kieferorthopädie

Aligner Therapie

 

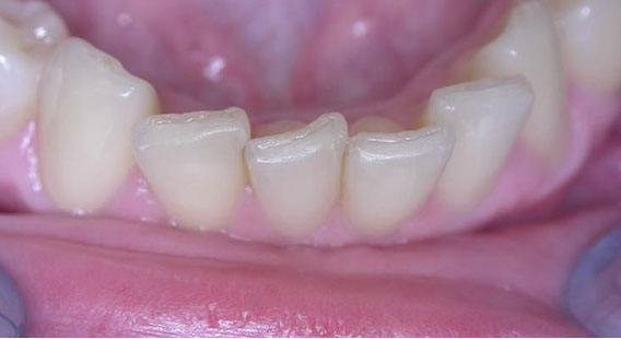
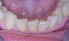
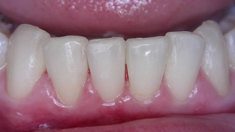
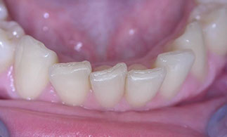
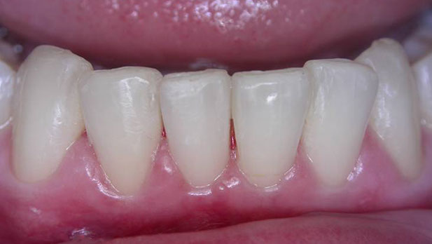
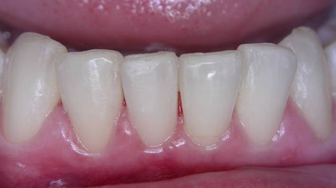
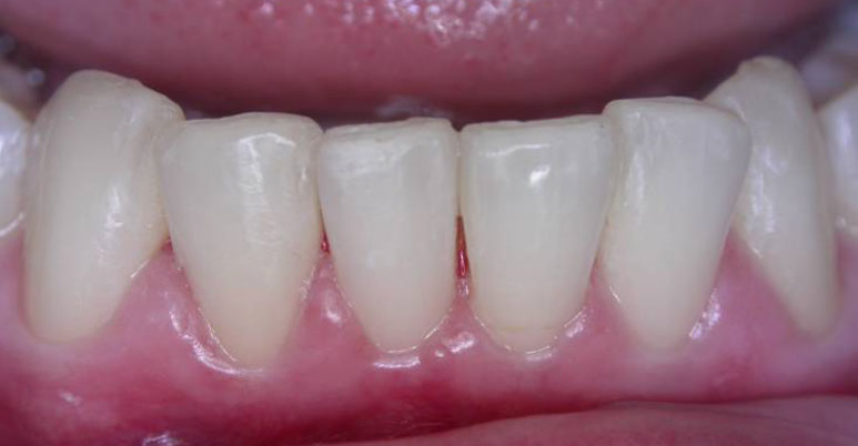
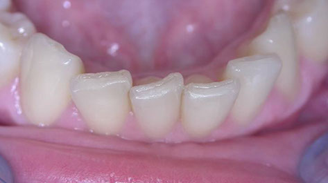
Die unsichtbare Zahnspange für gerade Zähne

 

Schöne, gerade Zähne wünschen sich immer mehr Menschen. Kein Wunder, schließlich gibt es kaum etwas Attraktiveres als ein herzhaftes Lachen mit hervorblitzenden, geraden Zähnen. Viele Erwachsene sind jedoch nicht glücklich mit ihrer Ästhetik. Wenn es auch Ihnen so geht und Sie sich mit Zahnlücken, schiefen oder gedrehten Zähnen nicht abfinden wollen, und eine festsitzende Spange nicht in Frage kommt, dann ist eine Aligner Therapie für Sie die richtige Lösung. Schon innerhalb weniger Wochen lassen sich schiefe oder hervorstehende Zähne gerade richten und unästhetische Zahnlücken schließen.

 

Die durchsichtige, herausnehmbare Schiene fällt nicht auf und behindert im Alltag weder beim Sprechen noch beim Lachen. Damit bieten wir Ihnen nicht nur eine effektive, sondern im Gegensatz zu anderen Schienentherapien auch eine kostengünstigere Alternative für Ihre Zahnkorrektur. Denn: Im Gegensatz zu anderen Systemen wird bei dieser Aligner-Therapie nur die individuell benötigte Anzahl an Schienen gefertigt und berechnet.

 

Und so funktioniert die Schienentherapie:

 

1. Wir nehmen Abdrücke von Ihrem Gebiss und senden diese ins Fachlabor.

2. Gemeinsam mit uns bestimmen Sie die optimale Stellung Ihrer Zähne.

3. Das Labor prüft, was möglich ist und erstellt ein individuelles, unverbindliches Angebot.

4. Das Labor fertigt die nötige Anzahl an Schienen an.

5. Sie tragen die Schiene den ganzen Tag (außer zum Essen oder zur Zahnpflege).

6. Das erreichte Ergebnis wird dauerhaft gesichert durch das ausschleichende Tragen von Retainerschienen!

KONTAKT

 

Zahnarztpraxis

Dr. med. dent. Isabel Selmair

Clemensstraße 21a

80803 München

 

 

 

 

Mail: info@drselmair.de

 

Die Zahnarztpraxis Dr. Selmair in München Schwabing bietet Ihnen unter anderem folgende Leistungen:

 

Amalgam-Sanierung | Ästhetische Rekonstruktionen | Füllungen | Zahnersatz (Prothetik) | Vorsorge (Prophylaxe) | Wurzelbehandlung (Endodontie) | Behandlung von Parodontitis | Schienentherapie | Minimalinvasive Füllungstechniken | Kinderzahnheilkunde | Alterszahnheilkunde | Recall System | Präventive Zahnheilkunde | amalgamfreie Praxis | hochwertige Kunststofffüllungen | hochwertiger Zahnersatz: Inlays | Kronen | Brücken | Veneers | Teleskop- und Geschiebearbeiten | Implantatprothetik | Totalprothetik | ästhetische und kosmetische Zahnheilkunde: Farb- und Formoptimierung | Bleaching | Internes Bleaching | Individualprophylaxe | Recall-System | moderne Endodontie | Schienentherapie | Sportschutzschiene | Schnarcherschiene | Zahnärztliche Chirurgie | Panorama-Röntgen | Digitales Röntgen | schmerzfreie Anästhesie | schonende Kinderbehandlung | entspannte, angstfreie Behandlung | Geriatrische Zahnheilkunde | hochauflösende intraorale Kamera | professionelle Zahnreinigung | Bißerhöhungsschiene | Kompositfüllungen | Komposite | Maschinelle Endodontie |Composite | Aligner Therapie | ästhetische Kieferorthopädie | Invisalign | Behandlungsmikroskop | Zähnebleichen

 

Zahnarztpraxis Dr. Isabel Selmair München, Schwabing

KONTAKT

 

Zahnarztpraxis

Dr. med. dent. Isabel Selmair

Clemensstraße 21a

80803 München

 

 

 

 

KONTAKT

 

Zahnarztpraxis

Dr. med. dent. Isabel Selmair

Clemensstraße 21a

80803 München

 

 

 

 

Zahnarztpraxis Dr. Isabel Selmair München, Schwabing
Zahnarztpraxis Dr. Isabel Selmair München, Schwabing

Zahnarztpraxis Dr. Isabel Selmair München, Schwabing
Zahnarztpraxis Dr. Isabel Selmair München, Schwabing Zahnarztpraxis Dr. Isabel Selmair München, Schwabing Zahnarztpraxis Dr. Isabel Selmair München, Schwabing Zahnarztpraxis Dr. Isabel Selmair München, Schwabing
Zahnarztpraxis Dr. Isabel Selmair München, Schwabing

Zahnarztpraxis Dr. Isabel Selmair München, Schwabing
Zahnarztpraxis Dr. Isabel Selmair München, Schwabing Zahnarztpraxis Dr. Isabel Selmair München, Schwabing Zahnarztpraxis Dr. Isabel Selmair München, Schwabing Zahnarztpraxis Dr. Isabel Selmair München, Schwabing
Zahnarztpraxis Dr. Isabel Selmair München, Schwabing

Zahnarztpraxis Dr. Isabel Selmair München, Schwabing

Zahnarztpraxis Dr. Isabel Selmair München, Schwabing
Zahnarztpraxis Dr. Isabel Selmair München, Schwabing Zahnarztpraxis Dr. Isabel Selmair München, Schwabing Zahnarztpraxis Dr. Isabel Selmair München, Schwabing Zahnarztpraxis Dr. Isabel Selmair München, Schwabing
Zahnarztpraxis Dr. Isabel Selmair München, Schwabing